"すきっ歯" 一覧
表側矯正
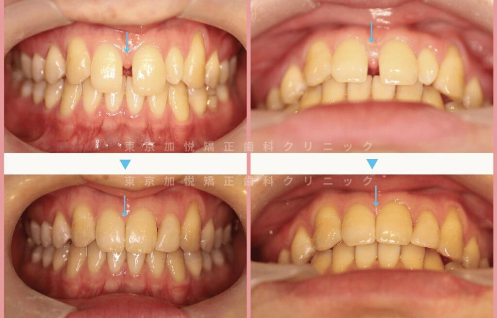
すきっ歯を上前歯の部分矯正で治療した症例【症例007】
すきっ歯
カウンセリング後の選択肢
- ・
- (治療プラン1)上の前歯の表側矯正を8ヶ月間
- ・
- (治療プラン2)上の前歯の裏側矯正を8ヶ月間
症例のカウンセリングと結果を見る
表側矯正
すきっ歯・矮小歯・欠損歯を治したい(写真あり)
すきっ歯
カウンセリング後の選択肢
- ・
- (治療プラン1)すき間を補綴で治療する
- ・
- (治療プラン2)前歯を表側矯正した後、補綴治療で歯を大きくする
- ・
- (治療プラン3)前歯を裏側矯正した後、補綴治療で歯を大きくする
- ・
- (治療プラン4)マウスピース矯正した後、補綴治療で歯を大きくする
症例のカウンセリングと結果を見る
裏側矯正
すきっ歯を治したい(写真あり)
すきっ歯
カウンセリング後の選択肢
- ・
- (治療プラン1)全顎の裏側矯正
- ・
- (治療プラン2)上の前歯だけの裏側矯正
症例のカウンセリングと結果を見る
自分の症状から選ぶ


