歯を抜かない歯科矯正
もともとの歯並びが重なっていると、患者さまの中には「歯を抜かないと治療できない」と考えている方もいらっしゃいます。
当院ではカウンセリングの際に必要に応じて、抜歯をした場合・しない場合の治療後について、詳しい説明をしています。
抜歯をせずに歯科矯正
当院で矯正した患者さまのうち、抜歯をしなかった患者様の治療前後写真を紹介します。
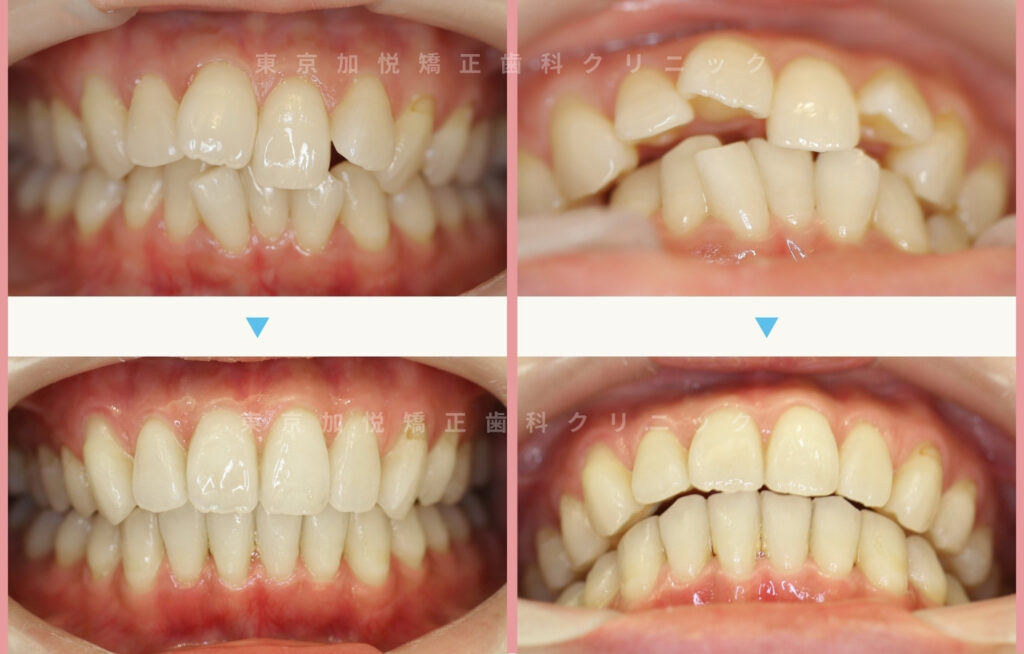
20代女性 歯を抜かずに上の前歯だけ矯正した症例
症例014

詳細(料金・期間)

咬合面の症例前後写真

横から見た症例前後写真

主な矯正装置
部分矯正 舌側装置(裏側矯正)
矯正にかかった期間:5ヶ月間
治療期間が限られているため、本来1ヶ月ごとに行う矯正期間中のご来院を3週間に短縮して治療しました。初診から半年後に撮影を控えていたため、矯正が終わらなかった時にそなえて、目立たない裏側矯正で治療を行いました。
結果として、5ヶ月間で矯正が終了しました。
特筆すべきリスク
・今回、患者様のご希望により、治療箇所が上前歯のみだったため、前歯の噛み合わせに問題が残りました。
・矯正治療にともない、歯根吸収のリスクがあります。
矯正にかかった費用
初診:3,300円 精密検査:22,000円
矯正装置:495,000円、処置料:通院つど 6,600円×6回
保定期間の処置料:通院つど 1,100~5,500円
※表記は税込、すべて自費診療です
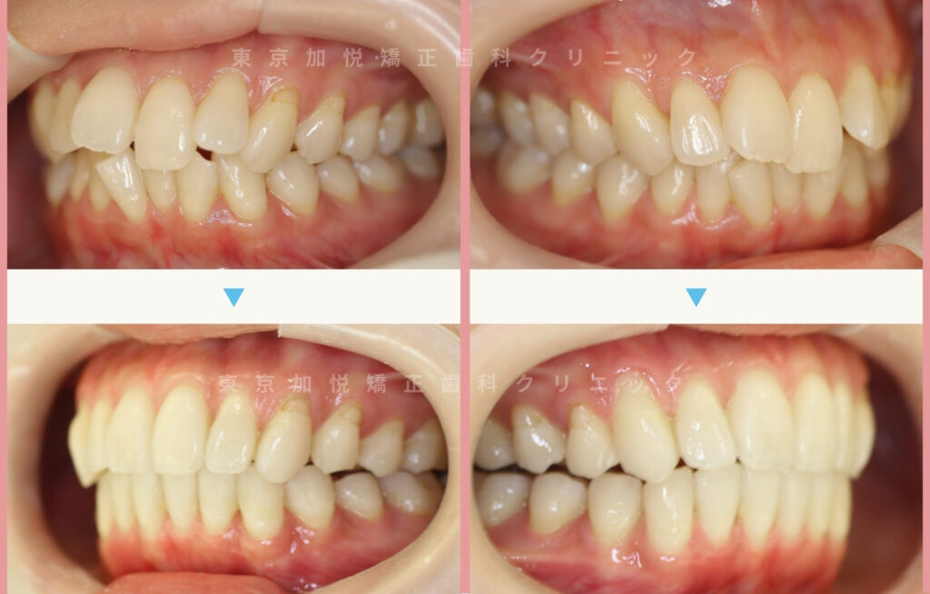
30代女性 歯を抜かずに全顎矯正した症例
症例015

詳細(料金・期間)

咬合面の症例前後写真

横から見た症例前後写真

主な矯正装置
部分矯正 唇側装置(表側矯正)
矯正にかかった期間:18ヶ月間
初診時には歯のずれがあり、不正咬合も見られました。
抜歯をして矯正することも考えられましたが、全顎的な矯正で歯列全体を後方に異動させることで、歯を抜かずに矯正治療を完了しました。
歯を抜くのは歯を動かすスペースを確保するために行いますが、このように歯列全体を後方に異動して、アーチをU字に拡大することで、歯を抜かないでもスペースを十分に確保することが可能です。
特筆すべきリスク
・抜歯をした場合としない場合でリスクも異なります。今回抜歯をせずに矯正したことで、ブラックトライアングルの残存リスクを抑えられました。
・矯正治療にともない、歯根吸収のリスクがあります。
矯正にかかった費用
初診:3,300円 精密検査:44,000円
矯正装置:1,045,000円、処置料:通院つど 5,500円×18回
保定期間の処置料:通院つど 1,100~5,500円
※表記は税込、すべて自費診療です
20代女性 歯を抜かずに前歯だけ矯正した症例
症例016

詳細(料金・期間)

正面からみた症例前後写真

横から見た症例前後写真

主な矯正装置
部分矯正 コンビネーション装置(目立つ上は裏側矯正、下は表側矯正)
矯正にかかった期間:8ヶ月間
他院では抜歯と言われ、当院に来られました。
当院では非抜歯で治療を行いました。
前歯が斜めでねじれもありましたが、上下前歯にコンビネーション矯正を8ヶ月間実施することで、歯列が整い、歯のねじれ・重なり合いがなくなりました。
ずれていた正中も改善されました。
特筆すべきリスク
・抜歯をした場合としない場合でリスクも異なります。今回抜歯をせずに矯正したことで、ブラックトライアングルの残存リスクを抑えられました。
・矯正治療にともない、歯根吸収のリスクがあります。
矯正にかかった費用
初診:3,300円 精密検査:22,000円
矯正装置:715,000円、処置料:通院つど 7,700円×8回
保定期間の処置料:通院つど 1,100~5,500円
※表記は税込、すべて自費診療です
歯を抜く = スペースの確保
矯正治療の歴史の中で、過去には「矯正治療=歯を抜く」と言った治療を行っていた時代もありました。
そして適応ではない症例においても、歯を抜いてしまったことで、より状態が悪くなってしまったという事があったのも事実です。
抜歯・非抜歯の判断は、経験あるドクターのもとでの適切な診断が重要です。
なるべくなら歯を抜かずに治療できた方が、生体的にも良いのは確かです。
当院では、歯を抜かずに矯正治療するためのいくつかのテクニックを組み合わせることで、歯を抜かずに矯正治療をできる幅を広げています。
専門医だからこだわります、歯を抜きたくない患者さまのために
歯を抜かずに、スペースを作りだす3つの方法
歯を抜かないためにできること その1
歯列全体を横方向・前方向に拡げ、全体のスペースを確保
横方向もしくは前方に動かせる余地がある方の場合、奥歯部分がやや内側に傾いている歯を、まっすぐ立てることで、全体的なスペースを確保します。

ただし、横方向・前方向の余地を無視して拡大しすぎると、歯槽骨より歯がはみ出すことになります。
その場合は将来的に歯肉の退縮や歯牙喪失(歯を失うこと)のリスクを高める結果になってしまいますので、専門医の診断が重要です。
※歯槽骨とは歯を支える骨のことです。

歯を抜かないためにできること その2
歯の側面を削り、スペースを確保
歯の表層の硬い組織「エナメル質」は1~2㎜の厚みがあります。歯と歯の隣接面にあるエナメル質の1/3(0.3mm~0.6mm)程を削り(ディスキング)、歯を動かすためのスペースを作ります。
西洋人に比べ、私たち東洋人はエナメル質に厚みがあるので、ディスキングはリスクが少なく有効な方法です。

よくある質問
健康な歯を削るのって、身体に悪くないのでしょうか?
回答
健康な歯質を削ることに抵抗がある方も多いと思います。
確かに削らないに越したことはないのかもしませんが、エナメル質の削除量をきちんとコントロールすれば、虫歯や歯質の破切などのリスクは殆どなく、また、削ることによる利点も多くあります。

歯のエナメル質を削って矯正治療をする5つの利点
- 今まで歯を抜いていたケースでも、抜歯せずに治療できるケースが増えました。
- 一般に、歯を抜く治療を行うよりも治療期間を短縮できます。
- 矯正後の後戻り(再び歯並びがズレて悪くなること)をしにくくなります。
- 歯と歯の間の隙間(ブラックトライアングル)を目立ちにくくできます。
- コンタクト面に軽度なカリエス(虫歯)があった場合、一緒に削除できます。
歯を抜かないためにできること その3
奥歯の位置を後ろに移動して、手前側にスペースを作る
あごの骨の余地が充分にある方は、奥歯の位置をさらに後ろに移動する手法があります。
歯を後ろに移動するための固定として、アンカーインプラントを使います。

よくある質問
アンカーインプラントとは何ですか?
回答
アンカーインプラントとは、小さな金属のネジ状のものを、アゴの骨に打ち込むことにより、骨を固定源として奥歯を動かしやすくするものです。
皆さん初めは痛そうとか怖いとか思われるようですが、埋入時に部分麻酔を行うことで痛みなく治療ができます。その後も骨の内部には神経がないため、痛みはありません。
また、違和感も矯正装置と同じ程度なので、1週間ほどで慣れる方がほとんどです。
歯を抜かない治療は本当に理想的?
どの治療が理想的なのかはお一人おひとりによって異なります。
当クリニックでは、審美的な仕上がりだけでなく、治療期間・費用や患者さまのご希望を踏まえて、治療プランを決定します。
100人いれば100通りの矯正治療があります。初診カウンセリングでは、患者さまのお口(歯並びや咬み合わせなど)や顔貌から、治療プランを提示いたします。
(完全予約制・3,300円)
初診カウンセリングを予約する
初診前にオンラインカウンセリングで治療の可能性や期間・費用など、大まかな話を聞くことも可能です。
ご希望の方はLINEでご予約ください。
初診カウンセリングはどんな流れで進むの?
受付を済ませた後、問診票のご記入をおねがいします。
STEP1ご希望を伝えてください
どのように気になるかを伝える
気になる症状は「出っ歯」や「すきっ歯」「クロスバイト」などの言葉になっているとは限りません。例えば、「この歯の角度を変えたい」「歯の先端の見え方がとがって見える」「ここの並びがなだらかじゃない」「下から写真を撮った時の見え方」「歯の正中と顔の正中が合っていない」など、ご自身の言葉で伝えてもらって大丈夫です。
ご希望の矯正期間
「〇〇年〇月中に歯並びを変えたい」「〇〇年△月×日に撮影があるので、その日には整えたい」などお知らせください。部分矯正(前歯)は3~12ヶ月、全顎矯正は1~3年が目安です。
咬み合わせについて
歯は上下が咬み合って機能しています。診察時にもチェックしますが、咬み合わせが気になる場合は、どんな時に気になるかを知らせてください。
希望する矯正装置が決まっている場合
矯正する部位⇒全顎矯正 / 部分矯正
装置の種類⇒インビザライン矯正 / マウスピース矯正 / 表側矯正 / 裏側矯正
※希望がない場合やご不明な場合はそのように伝えてもらってOKです。
希望する矯正装置や予算
「なるべく目立たないのがいい」「お手入れがラクなのがいい」「費用はいくらまで」などの希望を知らせてください。
STEP2お口を診ます
診察時は、担当の歯科医師がお口の状態や顔貌を詳しく診ます。

STEP3担当医から治療プランの提案
大まかな治療プランを提案
お口を診た結果、ほんとうに矯正治療が必要なのか、またご希望の治療が可能なのか、治療の大まかな方針や費用・期間などをお話しします。
なるべく患者さまのご希望にあった治療プラン
当院では、患者さんのご希望を大切にしています。「なるべく患者さんの希望に沿った治療プラン」「それが難しければ、希望に近いプラン」を提案します。
※矯正治療は医療行為ですので、必ずしも患者さまのご希望通りのことができるとは限りません。
最終決定は患者さん自身
担当の歯科医師は治療プランを提案しますが、治療を決めるのは患者さまご自身です。
※もしかしたら、自分の予算感よりも高い治療を無理強いされたり、押し売りされたりするのではないかと心配している方もいるかもしれませんが、そのような行為は一切していませんので、ご安心くださいね。





