すきっ歯を上前歯の部分矯正で治療した症例【症例007】
カウンセリング結果
カウンセリング後の治療プラン
前歯の部分矯正で治療可能
歯科医のコメント
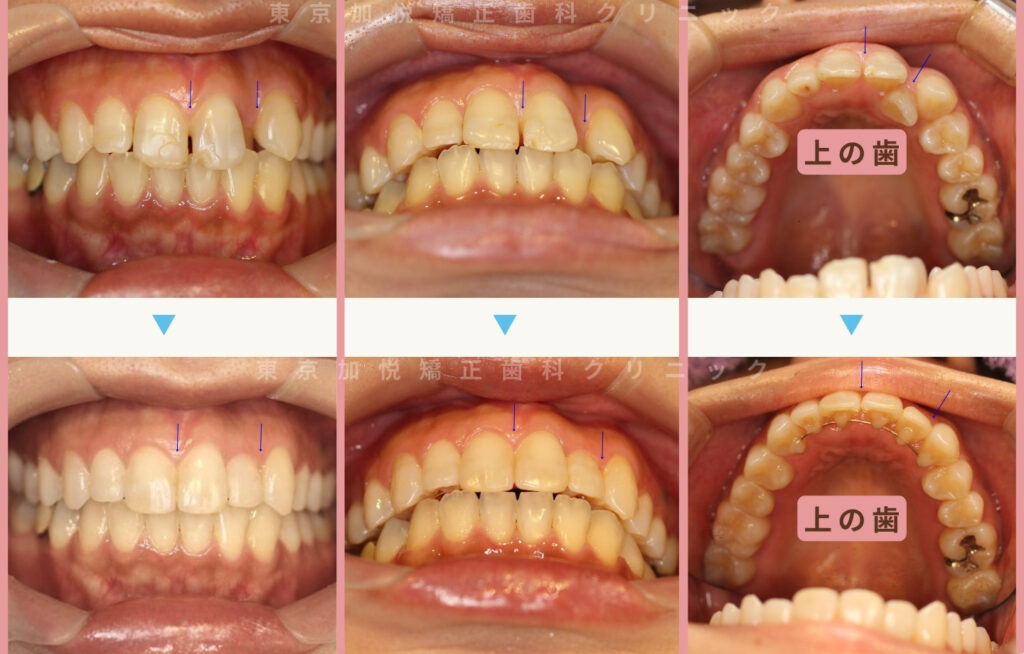
左上2番目の歯が舌側にずれ(舌側転移)、それにより前歯にすき間ができている状況でした(正中離開)。
上・前歯の部分矯正で歯の位置を正しいポジションに移動することで、すき間をなくすことが可能です。
また、歯の形のバランスにもやや問題がある状況でした。
左上2番目は通常よりも小さな歯(矮小歯)で、左上1番目は歯が通常よりも大きいという特徴がありました。
そこで、矯正治療後に小さな歯は補綴で歯に長さを出し、大きな歯は削って形を整えることで、前歯のバランスを整えます。
上・前歯の部分矯正で歯の位置を正しいポジションに移動することで、すき間をなくすことが可能です。
また、歯の形のバランスにもやや問題がある状況でした。
左上2番目は通常よりも小さな歯(矮小歯)で、左上1番目は歯が通常よりも大きいという特徴がありました。
そこで、矯正治療後に小さな歯は補綴で歯に長さを出し、大きな歯は削って形を整えることで、前歯のバランスを整えます。
(治療プラン1)上の前歯の表側矯正を8ヶ月間
上の前歯に対して、部分矯正を行います。
矯正期間は8ヶ月間です。
矯正治療後に小さな歯は補綴で歯に長さを出し、大きな歯は削って形を整えることで、前歯のバランスを整えます。
|
初診:3,300円 精密検査費用:22,000円 |
|
| 治療にかかる費用 |
装置費用 :330,000円 |
| 通院ごとにかかる処置料 | 5,500円×8回 |
| 保定にかかる費用 | 来院つど:1,100円~5,500円 |
| 治療にかかるリスク・コメント | 矯正治療には歯根吸収のリスクがあります。 |
(治療プラン2)上の前歯の裏側矯正を8ヶ月間
上記表側矯正のプランと比べると、矯正装置を歯の裏側に装着するため、装置を目立たせずに治療することが可能です。
治療の仕上がりに違いはありません。
|
初診:3,300円 精密検査費用:22,000円 |
|
| 治療にかかる費用 |
装置費用 :440,000円 |
| 通院ごとにかかる処置料 | 6,600円×8回 |
| 保定にかかる費用 | 来院つど:1,100円~5,500円 |
| 治療にかかるリスク・コメント | 矯正治療には歯根吸収のリスクがあります。 |
8ヶ月間の矯正と補綴で前歯が整いました

8ヶ月間の前歯の矯正と補綴で前歯2が歯列におさまり、また、前歯2番の歯の長さを補綴で足すことで、前歯のバランスが整いました。

写真内青い矢印にあったすき間がすべて閉じていることがわかります。

矯正装置には、前歯の表側に装置をつける表側矯正装置を選択されました。
ワイヤーは寄り目立たないゴールドを装着しています。
すきっ歯の矯正
子どもの時期のすきっ歯は、生え変われば自然に治りますが大人になってからのすきっ歯は、自然には治りません。
でも適切な治療をすれば治ります。
当院のすきっ歯の治療については、こちらのページをご覧ください。
・全顎矯正ですきっ歯を改善した症例
・部分矯正ですきっ歯を改善した症例
・補綴治療と矯正治療ですきっ歯を改善した症例
など紹介しています。
100人いれば100通りの治療プランがあります
初診カウンセリングでは、お口の状態をみた上で、あなたに合った治療プランをお話します。
今回のように治療範囲でお悩みの場合は、複数の治療の選択肢をお話しすることも可能です。
なお、当院の初診カウンセリングは完全予約制です。(3,300円)
当院では、矯正治療を受けるかお悩みの方に向けてオンラインカウンセリングも行っています。(無料)




