表側矯正
歯並びを整えたいけれど、「矯正装置が目立つのは気になる…」とためらっていませんか?
最近はマウスピース矯正や裏側矯正など装置そのものが目立たない矯正装置もありますし、表側矯正でもワイヤーやブラケットの色合いを工夫することで、より目立たずに矯正することが可能です。
本ページでは、表側矯正のメリット・デメリットから、費用・治療期間、裏側矯正やマウスピース矯正との比較まで、よくあるご質問にもお答えします。
表側矯正とは
表側矯正とは、ワイヤーを使って歯並びを整える治療法の一つです。
表側矯正装置の見た目は?
表側矯正の装置は見えますが、当院ではより目立たないカラーを選択することも可能です。

表側矯正とは?
表側矯正とは、歯の表面にブラケットというパーツを接着して歯を正しいポジションに移動する矯正治療です。 唇側(しんそく)矯正、ラビアル矯正とも呼びます。
表側矯正を行うことで、歯並び(審美性)が改善される場合と、咬み合わせ(機能性)も改善される場合があります。

表側矯正でも、目立たないのはどんなタイプ?
近年ではワイヤーやブラケットの素材やカラーが工夫され、より目立たない装置にすることが可能です。
※ブラケットとは歯に接着する部品のことです。
表側矯正のワイヤーは何色ある?
当院では、3色のワイヤーを用意しています。
ワイヤーを歯に近い色合いにすることで、装置そのものがあまり強調されず、矯正期間中でも比較的自然な口元を保てます。
表側矯正装置を見えなくできますか?
表側矯正は歯の表側(唇側)に装置をつけるので、見えないようにするのは難しいです。 なお、矯正装置を見えなくしたい場合は、裏側矯正の方が適しています。歯の裏側に装置をつけるため、正面から見るぶんには、ほとんど見えません。
表側矯正治療の種類
表側矯正は、治療箇所により、全顎矯正と部分矯正の治療があります。
| 表側矯正の種類 | 治療内容 | 矯正期間 |
|---|---|---|
| 全顎矯正 | 全ての歯を動かすことで、審美性も咬み合わせも改善します。 | 1~2年間前後 |
| 部分矯正 | 前歯のみを動かすことで、主に審美性を改善します。 | 3~12ヶ月間 |
当院で表側矯正した症例
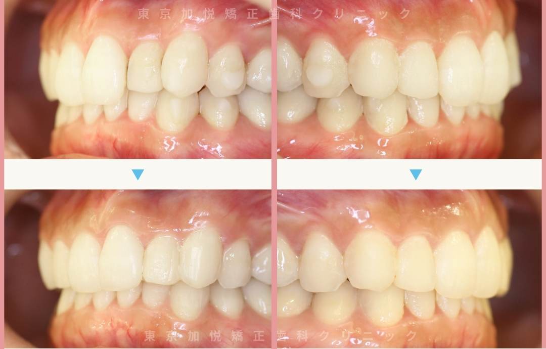
上下前歯の表側矯正で叢生を矯正した20代女性の症例

詳細を見る
患者さんの希望・お悩み
- 前歯の並びが気になるので、治療したい。
- 期間を短く、なるべく低価格で気になるところだけ治療したい。
診断
上と下の前歯の叢生歯列弓が見られます。歯が並ぶスペースが足りていないので、歯の隣接面を削ることで、空間を作り、非抜歯にて治療を行いました。
右上1番・左上2番の前歯に捻転(ねじれ)があるため、マウスピース矯正よりもワイヤー矯正のほうが望ましい症例です。

この程度の歯のズレであれば、非抜歯の部分矯正でも、治療が可能です。

他院では、「歯を抜かないと前歯が出てしまうよ」と言われたようですが、非抜歯の治療であっても前突することなく、仕上がっています。
矯正治療の期間
8ヶ月
治療費用(税込)
- 初診 3,300円
- 検査 22,000円
- 装置料 550,000円
- 処置料 5,500円×8回
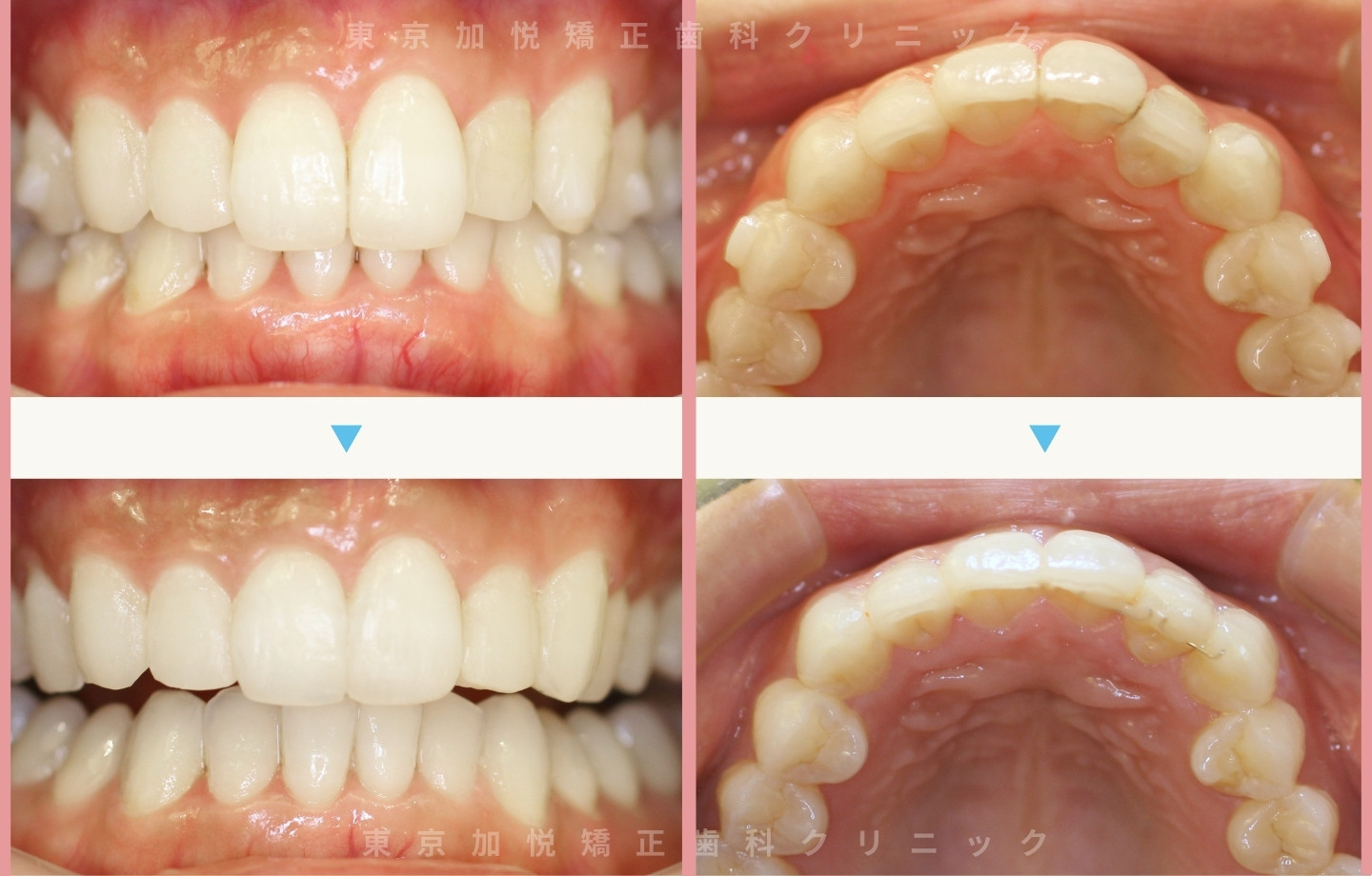
上の前歯の表側矯正で叢生を矯正した20代女性の症例
詳細を見る
患者さんの希望・お悩み
- マウスピース矯正で1年6ヶ月間治療したが、左上2番目の歯がすぐに戻ってしまう。
挙式も控えているので、いそいで治療したい。
診断
見方によってはすでに治療前の歯並びがキレイだと感じる方もいるかもしれませんが、この方は審美的要求が高く、さらに改善をしたいと考えていました。
マウスピース矯正は3次元的なコントロールが難しいため、患者様の審美的要求に応えるのは難しかったようです。
そこで、当院ではよりコントロール性の高いワイヤータイプの矯正治療を行うことにより、審美的改善をしました。

左上2番目の歯を前方に出しつつ、下方向に移動する形で仕上げています。
表側矯正のメリット
表側矯正はほかの矯正装置と比べて、どんな優れた点があるかを紹介します。
コントロール性が高い
マウスピース矯正と比べると、表側矯正はワイヤーを使用するため、コントロール性が高く、歯の3次元的な動きや微調整も可能です。
そのため、矯正後の仕上がりについては、様々な症例において、より美しい仕上がりが期待できます。
矯正期間中のお手入れがしやすい
矯正期間中は、装置をつけるため、歯ブラシの時に装置も清掃します。
表側矯正の場合、装置が見えやすい唇側についているため、ブラッシングや歯間ブラシの使用が比較的容易です。
- 裏側矯正は舌側についているため、少し見えづらい中でのお手入れになります。
- マウスピース矯正は、食事の度にマウスピース着脱などのお手間がかかります。
装置を目立たない色合いに変更可能
ワイヤーやブラケットの色合いを工夫することで、従来の表側矯正よりも目立ちにくくできます。
当院ではブラケットに従来の金属だけでなく、セラミックやプラスチックなど、白や半透明の装置を使用しています。
矯正装置がより目立たないお口元になります。
表側矯正のデメリット
ここでは他の装置と比べた場合のデメリットを解説します。
装置が見えます
歯の表側(唇側)に装置を接着するため、装置が見えます。
※装置の素材や色味を選ぶことで、以前ほど「目立つ」という印象は軽減できます。
食事中の見た目
会食など、人前でお食事をとる際は、注意が必要です。
※歯と装置の間に食事がつまることが予想されます。
唇や頬への違和感
歯と唇の間に装置がつくため、唇や頬の内側に装置が当たります。
それにより、違和感が出たり、場合によっては口内炎ができるケースもあります。
この影響は個人差がありますが、一定期間で慣れていく方がほとんどです。
表側矯正後の保定治療について
歯を正しい位置へ移動させた後、その位置を定着させるために「保定(ほてい)」を行います。
保定はマウスピースだけで行う矯正歯科も多いですが、当院ではマウスピースの着け忘れによる後戻りを防ぐため、ワイヤー保定を推奨しています。
当院では、表側矯正を行った方でも、保定装置は歯の裏側にワイヤーをつけるか、マウスピースを使用しています。装置が見えることはほとんどありませんので、ご安心ください。

歯を動かした後の2年間~この装置をつけます。
保定装置は矯正装置と比べて小さく、食事や滑舌への影響も限定的です。
表側矯正治療にかかる期間
矯正前にかかる期間
初診・検査のためのご来院が必要です。
※お急ぎの方はご予約時にご相談ください。
表側矯正中にかかる期間
最低3ヶ月〜最長2年間の治療期間がかかります。
前歯のみなら1年以内、全ての歯を治療するなら1年~2年前後が目安です。
※初診のカウンセリング時に、矯正期間の目安をお伝えします。
※特殊なケースで最長3年かかる場合がありますが、非常に稀です。
矯正後にかかる期間
動いた歯を保定するための期間が必要です。
後戻りを予防するため、2年〜かかります。
矯正治療にかかる費用
表側矯正(全顎・部分)にかかる費用は、歯並びや治療範囲により異なります。
当院では、治療開始前にカウンセリングを行い、期間・費用の目安を丁寧にご説明します。
詳細は料金表をご覧いただくか、カウンセリング時にお気軽にお尋ねください。
表側矯正に関するよくある質問
他院で治療した方へ
他院でマウスピース矯正していたのですが、途中から歯が動かなくなりました。転院して、表側矯正できますか?
はい、原則可能です。
マウスピース矯正は、表側矯正と比べると、歯のコントロール性が低いため、一部の症例で歯のコントロールが難しい場合があります。
一方、表側矯正は矯正治療の中で最もコントロール性が高い矯正治療のひとつです。
表側矯正の見た目に関する質問
表側矯正は周りの人にどれくらい気づかれますか?
歯の表側に装置がつくため、直接対面する場合、必ず気づきます。
数m離れていると、気づかない人もいるかもしれません。
矯正中であることを知られたくない方や、営業職や接客などのお仕事についている方は、比較的目立たない裏側矯正を選ぶ方が多いです。
表側矯正期間中のお手入れや手間に関する質問
表側矯正で矯正期間中のお手入れは?
表側矯正をしている間は、歯ブラシの際、装置も一緒に清掃します。
特に歯と装置の間に汚れがたまりやすいです。
当院ではお手入れの指導も行っています。
表側矯正と裏側矯正を比べると、どちらが手間ですか?
感じ方には個人差がありますが、表側矯正の場合、ブラケットやワイヤーを直接見ながらブラッシングできるという点で、楽に感じるかもしれません。
表側矯正とマウスピース矯正を比べると、どちらが手間ですか?
実はズボラなタイプの人には、表側矯正がお勧めです。
何故かというと、マウスピース矯正は食事の度に着脱が必要で、しっかりご自身で着け続けないと、治療が継続できないからです。
そのため治療を途中で断念してしまう方もいます。
その点、表側矯正なら装置を一度つければ着けっぱなしなので、治療が確実に進みます。
年齢やライフステージに関する質問
表側矯正は何歳から始められますか?
基本的に年齢制限はありません。
歯並びが気になる方はご相談ください。
大人になってからでも、手遅れではありませんか?
何歳からでも矯正は行えます。
もともと10代・20代・30代の患者様が多いですが、最近は歯の健康意識が高まっているからか、40代・50代・60代以上の矯正治療も増えています。
結婚を控えています。表側矯正はできますか?
もちろん可能です。
結婚式当日にはお口元が1番キレイになれるように、治療のスケジュールを組むことも可能です。
結婚式当日まで十分に期間がなく、挙式をまたいで矯正治療を行う場合は、挙式の前に装置を外し、式後に再度装置を装着することが可能です。
妊娠中に表側矯正は始められますか?
特別な理由がないのでしたら、矯正治療で歯を動かすのは出産後をお勧めします。妊娠中でも、外出が問題なくできるようでしたら、初診カウンセリングは問題なく受診可能です。
矯正治療を開始する前にレントゲン撮影を行いますが、妊娠中は胎児への影響をふまえレントゲンの撮影は原則行いません。
表側矯正中に妊娠したら、どんな問題がありますか?
大きな問題はありません。
出産前後は通院が難しいと思いますので、治療計画の調整が必要な場合があります。
出産予定日がわかりましたら、担当の歯科医師にお知らせください。
また、妊娠中はいろんなマイナートラブルが起きる可能性があります。
困ったことがありましたら歯科医師にご相談ください。(LINEや電話での相談も可能です)
授乳中でも表側矯正はできますか?
授乳中は全く問題ありません。
授乳中もいろんなマイナートラブルが起きる可能性があります。
困ったことがありましたら歯科医師にご相談ください。(LINEや電話での相談も可能です)
通院時、乳幼児を連れて行けますか?
通院の際、赤ちゃんを連れてきていただいても問題ありません。
当院に保育士はいませんが、ママと同室で治療します。
ベビーカーもご利用いただけます。(当院の治療室・カウンセリングルームは個室です)
※銀座駅からベビーカーをご利用される場合、銀座駅A8出口が便利です。
痛みや違和感への対処
表側矯正で治療する際、痛みますか?
痛みに関しては個人差が大きく、痛みを感じる人も感じない人もいます。
痛みを感じる場合は、歯を動かす際に痛みを感じる人もいますし、むずむずと感じるだけの方もいます。
特に、痛みが出やすいのは、通院して装置の調整をした後の数日間です。
痛みがでたらどのように対処すればいいですか?
痛み止めを服用いただけます。
また、痛みが出てしまうと硬いものを食べるのが辛くなりますので、柔らかいもの(お粥・うどん・プリンなど)ですと食べやすいです。
痛みがでないようにできますか?
歯の動くスピードを調整することで、痛みをある程度コントロールできます。
痛みが苦手な方は、担当医にご相談ください。
裏側矯正と表側矯正はどちらが痛いですか?
歯が動く時に感じる痛みについては、裏側と表側では変わりません。
矯正期間中の違和感は?
表側矯正では歯の外側に矯正装置をつける都合上、唇や頬にブラケットが当たります。
装着当初は違和感を感じることがあります。
当院では矯正期間中影響が出ている方には、ワックス等でブラケットの角をおおうなどの処置をおこなっています。
口内炎ができますか?
矯正装置があたることが刺激となり、口内炎ができる場合があります。
当院では矯正期間中影響が出ている方には、ワックス等でブラケットの角をおおうなどの処置をおこなっていますので、ご相談ください。
また、こまめにうがいをする、栄養に気を付けていただく、ケアグッズで清潔に保つなどしていただくことをお勧めします。
口の閉じ具合・発音に関する質問
表側矯正中、口を閉じられないことはありますか?
基本的にはありません。
もともと出っ歯の方は、出っ歯の上に装置がつくので、歯がひっこむまで唇が閉じづらくなります。
表側矯正中、喋りにくいですか?
基本的には考えづらいですが、お口の状態によっては喋りにくい可能性があります。裏側矯正と比べると、喋りにくさは少ないです。
表側矯正期間中のスポーツや楽器演奏への影響
表側矯正は、スポーツに影響しますか?
表側矯正を行っていても、基本的には通常どおりスポーツを続けることは可能ですが、頬の内側と矯正装置が接触することでトラブルがおきる可能性があります。
特に、接触が多いスポーツ、例えばラグビーや格闘技などは影響がでる場合があります。個別でご相談ください。
表側矯正期間中、管楽器や吹奏楽を行うことは可能ですか?
マウスピースを使う楽器については、当たり具合が変化し、音が出しにくくなることがあります。個別でご相談ください。
表側矯正期間中の食事に関する質問
表側矯正中、食事に影響はありますか?
矯正期間中、食べてはいけないものがあります。
ナッツのように硬いもの、ガムやキャラメルのように歯にくっつくものは、矯正装置に影響がでますのでお控えください。
また、個人差がありますが、矯正期間中に歯の痛みがでる場合があります。痛い時は、うどんやおかゆなどやわらかいものがお勧めです。
仕上がり・治療効果に関する質問
表側矯正と裏側矯正で、最終的な仕上がりに差はありますか?
当院で矯正する場合、最終的な仕上がりは変わりません。
※技術的な難易度は裏側矯正の方が高いです。
表側矯正とマウスピース矯正で、最終的な仕上がりに差はありますか?
歯を動かす仕組みが異なるため、仕上がりに差ができる場合があります。
お口の状態により異なりますので、初診カウンセリング時にご相談ください。
特定の症例に関する質問
上の歯と下の歯がクロスしてしまっていますが、治りますか?
歯のクロスは表側矯正の治療適応です。
詳しくは初診でお口の状態を見てからの診断になります。クロスバイトの症例もご覧ください。
出っ歯なのですが、治療できますか?
出っ歯は表側矯正の治療適応です。
ただし、骨そのものが原因の場合は、治療効果が限定的な場合があります。詳しくは初診でお口の状態を見てからの診断になります。出っ歯の症例もご覧ください。
抜歯に関する質問
歯並びがガタガタです。矯正前に、歯は抜きますか?
症例によっては、歯を抜くケースもありますし、歯を抜かなくても治療できるケースもあります。矯正治療において歯を抜く場合は慎重に検討を重ね、歯を抜く検討を行います。
出っ歯だと矯正する時に歯を抜くんでしょうか?
出っ歯だからといって、必ずしも歯を抜くとは限りません。
歯を抜くかどうかは、どのように決定するのでしょうか?
当院では患者様のご希望に寄り添って方針を決定しています。
初診カウンセリングでは、その患者様にあった治療計画を提案しています。歯を抜くか抜かないか悩んでいる方に対しては、歯を抜いた場合の治療プランと歯を抜かなかった場合の治療プランを両方お話しすることも可能です。
表側矯正のご相談・ご予約
初診予約やご相談は、お電話またはLINEで受け付けています。また、LINEオンラインカウンセリングで、初診前にドクターと相談することも可能です。
まずはカウンセリングにて、表側矯正が適した治療法かどうか、ご自身の歯並びがどのように改善できるかをご確認ください。




