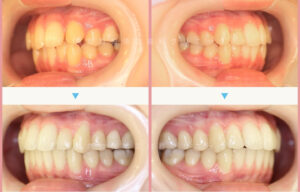
teen_case03_3

カテゴリ

初診の予約・ご相談

初診予約やご相談は、お電話またはLINEで受け付けています。

03-6228-7107受付時間:10:00~18:30

日曜日は16時まで / 不定休あり

LINEで相談

銀座駅より徒歩2分

東京都中央区銀座2-7-10 銀座マロニエテラス7F