全顎矯正で歯並びと咬み合わせを改善した症例【症例013】
カウンセリング結果
カウンセリング後の治療プラン
ワイヤーを使用した全顎矯正
歯科医のコメント
そこで、上の歯2本を抜き、全顎矯正を行うことで、前突していた前歯をスッキリさせます。
矯正装置については、裏側矯正でも表側矯正でも同様の仕上がりが可能です。
(治療プラン1)表側矯正での全顎矯正<抜歯あり>
上の歯を2本抜歯の上、表側矯正ですべての歯を動かします。
歯を抜く理由のは、アゴの骨の大きさに対して、歯が大きすぎる状況だったため、上の歯を2本抜歯して、歯を動かすスペースを作るためです。
当院では、抜歯に際しては、慎重な診断とカウンセリングを行います。ご希望の方には、抜歯をしなかった場合の治療内容や矯正後の歯の状態をお話しした上で、最終的には患者様に選択していただいています。
また、通常歯を抜いた上で矯正治療を行った場合、考えられるリスクとして歯列が閉じないことが挙げられます。
言い換えれば、どこかの歯と歯の間に隙間が空いてしまう可能性があります。
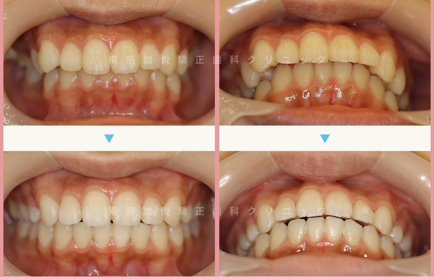
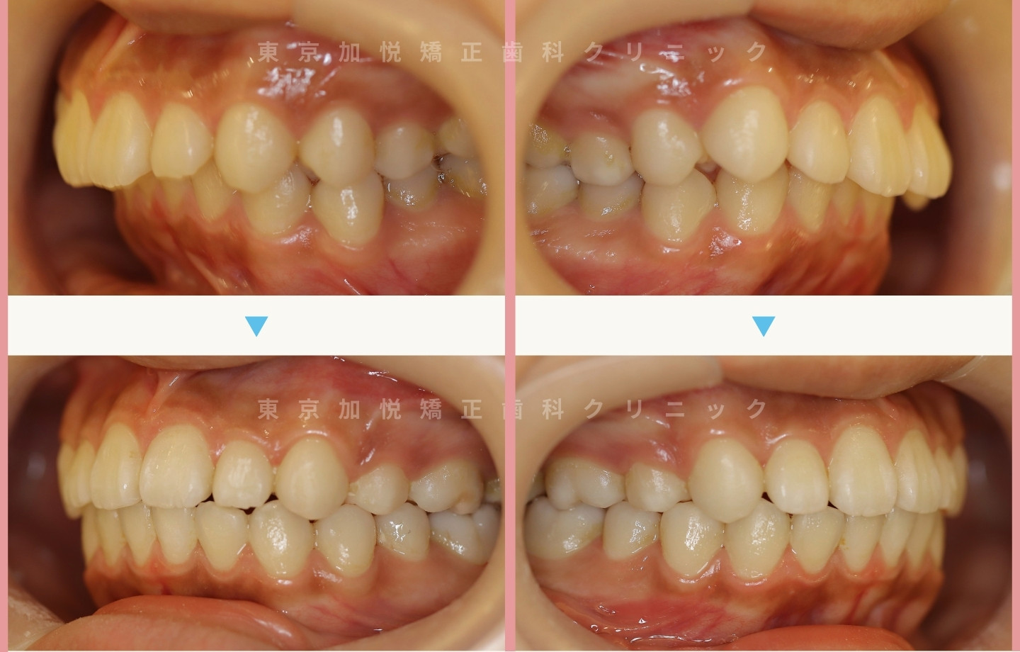
この症例では、初診時の計画通りに歯が動き、歯列もしっかり閉じました。
| 治療にかかる費用 | 初診3,300円、検査44,000円、抜歯11,000円×2本、装置99万円、処置料5,500円×15回 ※この後、後戻り予防のための保定治療に入ります。(通院つど1,100円~) |
(治療プラン2)裏側矯正での全顎矯正<抜歯あり>
上の歯を2本抜歯の上、裏側矯正ですべての歯を動かします。
歯を抜く理由、リスクについては治療プラン1と同様です。
| 治療にかかる費用 | 初診3,300円、検査44,000円、抜歯11,000円×2本、装置99万円、処置料5,500円×15回 ※この後、後戻り予防のための保定治療に入ります。(通院つど1,100円~) |
予定通り15ヶ月後に審美・咬合ともに改善されました
矯正治療により、前歯からみて正中がずれていたのが、しっかり調整できました。上前歯の正中と下前歯の正中が一致しました。

横からみると、上の前歯の前突が後退したことだけでなく、奥歯の咬合がしっかり成立したこともわかります。

奥歯は、上の奥歯1本に対して、下の奥歯2本が咬みあっている状態が理想的な咬み合わせなのですが、上記写真の矯正後写真ではその様子が確認できます。

出っ歯の矯正治療
歯の矯正治療でお口元の前突をこの程度改善できます。
また、今回の患者様は「歯を抜いて口元をしっかり治したい」という方針で治療を選びましたが、
中には「歯を抜かずになるべく治したい」という方もおり、
当院ではご希望に寄り添った治療プランを提案しています。
当院では患者様お一人おひとりにあった治療プランを選ばれることを大切にしています。
100人いれば100通りの治療プランがあります
初診カウンセリングでは、お口の状態をみた上で、あなたに合った治療プランをお話します。
今回のように治療範囲でお悩みの場合は、複数の治療の選択肢をお話しすることも可能です。
なお、当院の初診カウンセリングは完全予約制です。(3,300円)
当院では、矯正治療を受けるかお悩みの方に向けてオンラインカウンセリングも行っています。(無料)




