上前歯の歯並びと形態を改善した症例【症例011】
カウンセリング結果
カウンセリング後の治療プラン
上の前歯の矯正を行い、歯並びを整えます。
歯科医のコメント
本来であれば下の前歯も矯正すると歯並びが整いますが、患者様のご希望に添う形で治療プランを決定しました。
また、裏側矯正でも治療可能な症例ではありましたが、やはりご予算的に最もリーズナブルな表側矯正での治療となりました。
また、裏側矯正でも治療可能な症例ではありましたが、やはりご予算的に最もリーズナブルな表側矯正での治療となりました。
(治療プラン1)7ヶ月間の部分矯正で前歯を矯正する
矯正治療により前歯の位置的異常を整えます。
その際、歯の動くスペースを確保するために、歯の隣接面をわずかに削るディスキング処置を行います。
矯正装置:表側矯正
矯正期間:7ヶ月間
| 治療前にかかる費用 | 初診:3,300円 精密検査:22,000円 |
| 治療にかかる費用 | 装置費用 330,000円 通院ごとにかかる処置料 5,500円×7回 38,500円 |
| その他 | 形態修正(トリミング) 5,500円 |
| 保定にかかる費用 | 来院つど:1,100円~5,500円 |
※価格表記はすべて税込
診療の紹介
▶部分矯正について詳しくみる
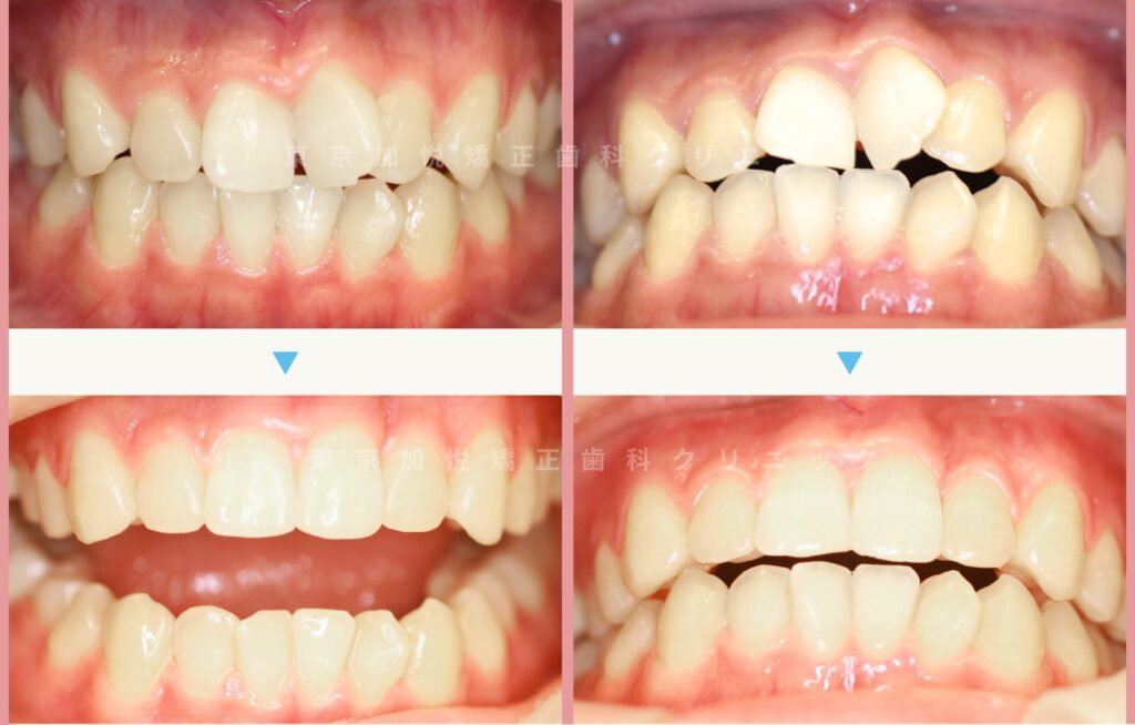
7ヶ月間の部分矯正で上の前歯のポジションを整えました
治療プラン通り、7ヶ月間で歯の矯正が完了しました。
その間、1ヶ月に1回ご来院いただき、ワイヤーを調整しました。

矯正終了後、前歯の切端がガタついていたので、トリミング処置を行いました。

横からみると、前歯についていた角度がとれ、前歯の歯並びが綺麗なアーチになっていることがわかります。

下記は咬合面の写真です。今回矯正したのは「上だけ」の前歯ですが、上の歯列弓が整っているのがわかります。

以下は、矯正治療前・矯正治療後・形態修正後の3段階の治療前後写真です。
形態修正は歯の矯正が終わった時に担当医と相談してトリミングを行うことを決めました。今回は矯正治療中の処置料金内でトリミングを行っています。

歯の形態修正の詳細は、▶ 形態修正の治療案内ページをご覧ください。
100人いれば100通りの治療プランがあります
初診カウンセリングでは、お口の状態をみた上で、あなたに合った治療プランをお話します。
今回のように治療範囲でお悩みの場合は、複数の治療の選択肢をお話しすることも可能です。
なお、当院の初診カウンセリングは完全予約制です。(3,300円)
当院では、矯正治療を受けるかお悩みの方に向けてオンラインカウンセリングも行っています。(無料)




