前歯のねじれを矯正し、形態修正
カウンセリング後の治療プラン
前歯の部分矯正で治療可能
歯科医のコメント
正面の前歯2本がねじれて生えてしまい、目立っている状況です。
ワイヤータイプの部分矯正であれば、捻れもしっかり治療が可能です。
ワイヤータイプの部分矯正であれば、捻れもしっかり治療が可能です。
(治療プラン1)上の前歯だけ裏側矯正を6ヶ月間
上の前歯に対して、部分矯正を行います。
矯正期間は6ヶ月間です。
前歯の先端がギザギザになってしまっている点については、形態修正でトリミング可能です。
矯正後は、後戻り予防のための保定治療に入ります。
| 治療前にかかる費用 |
初診:3,300円 精密検査費用:22,000円 |
| 治療にかかる費用 |
装置費用 :495,000円 |
| 通院ごとにかかる処置料 | 6,600円×6回 |
| 保定にかかる費用 | 来院つど:1,100円~5,500円 |
| 治療にかかるリスク・コメント | この程度であれば、全顎治療は本来必要ではなく、部分矯正、非抜歯で十分綺麗になります。 |
(治療プラン2)上の前歯だけ表側矯正を6ヶ月間
上の前歯に対して、部分矯正を行います。
表側矯正と裏側矯正では、仕上がりは変わりません。
装置が目立つ・目立たないの違いがあり、価格も変わってきます。
矯正期間は6ヶ月間です。
前歯の先端がギザギザになってしまっている点については、形態修正でトリミング可能です。
矯正後は、後戻り予防のための保定治療に入ります。
| 治療前にかかる費用 |
初診:3,300円 精密検査費用:22,000円 |
| 治療にかかる費用 |
装置費用 :385,000円 |
| 通院ごとにかかる処置料 | 5,500円×6回 |
| 保定にかかる費用 | 来院つど:1,100円~5,500円 |
| 治療にかかるリスク・コメント | この程度であれば、全顎治療は本来必要ではなく、部分矯正、非抜歯で十分綺麗になります。 |
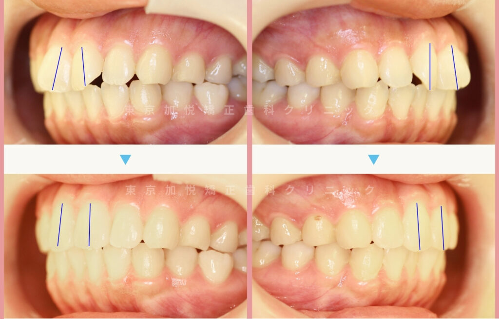
6ヶ月間の裏側矯正後に、形態修正を実施
患者様はより社会生活に支障が少ない裏側矯正を選ばれました。
矯正期間は予定通り6ヶ月間で終わり、矯正終了時に形態修正としてトリミングを行いました。

捻れていた前歯がしっかり前をむきまっすぐ生えている様子がおわかりいただけると思います。(上画像内の青線)

正面写真と正面下方からみた写真です。下方からみると、歯の捻れがよりわかりやすくなります。

上記写真は歯の咬合面です。上の歯列が綺麗なアーチ状になりました。

側方からみた様子です。歯の捻れがなくなることで、黒い影が減り、歯の白さが際立つお口元になりました。
歯の形態修正
上前歯の部分矯正後、トリーミング処置を行った前後の写真。歯の切端のガタつきや尖った箇所が、やや丸みのある滑らかな形状になりました。(矯正後の形態修正:11,000円)





