上顎前突(出っ歯)を全顎矯正で治療した10代女性の場合
カウンセリング結果
カウンセリング後の治療プラン
全顎矯正で治療可能
歯科医のコメント
前歯が噛み合っておらず、前歯が前突している印象がありました。
いわゆる出っ歯の状況です。
次の2つの治療プランが考えられました。
(治療プラン1)歯を3本抜いて20ヶ月間の全顎矯正
全顎矯正を行い、上の前歯を後退させます。
その際、歯を動くスペースを作るために、歯を抜きます。
上は左右の第一小臼歯、下は正面の前歯を1本抜きます。
この治療プランですと、歯を抜く本数を少なくして矯正期間も短めに抑えつつ、上顎前突をしっかり治せます。
その一方で、歯の正中(正面のライン)が合わないというデメリットがあります。これは下の前歯を1本のみ抜くためです。
※裏側矯正でも同様の治療が可能でしたが、より価格が抑えられる表側矯正を提案させていただきました。
| 矯正にかかる費用 |
初診:3,300円 精密検査費用:44,000円 抜歯費用:33,000円 |
| 通院ごとにかかる処置料 | 5,500円×20回 |
| 保定にかかる費用 | 来院つど:1,100円~5,500円 |
| 治療にかかるリスク・コメント | 矯正治療には歯根吸収のリスクがあります。 本治療プランでは、最後の仕上がりで正中が合いません。 |
(治療プラン2)歯を4本抜いて26ヶ月間の全顎矯正
治療プラン1と同じ全顎矯正ですが、その際歯を抜く本数を4本(いずれも第一小臼歯)とします。
メリットとしては、上下の歯の正中が合うというメリットがあります。
この治療プランですと、歯の正中(正面のライン)を上下の歯でしっかり合わせる事が可能です。
しかしながら、下顎も小臼歯2歯を抜歯することで、前歯がより後方へ移動してしまい、上下前歯の前後的ギャップの改善幅が減ってしまいます。
| 矯正にかかる費用 |
初診:3,300円 精密検査費用:44,000円 抜歯費用:44,000円 |
| 通院ごとにかかる処置料 | 5,500円×26回 |
| 保定にかかる費用 | 来院つど:1,100円~5,500円 |
| 治療にかかるリスク・コメント | 矯正治療には歯根吸収のリスクがあります。 本治療プランでは、上顎前突の改善が限定的になります。 |
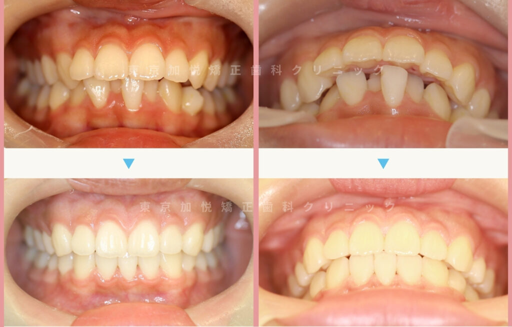
20ヶ月間の矯正で上顎前突がしっかり改善されました
患者様のご希望により、より上顎前突が改善される(治療プラン1)の矯正治療を行いました。
予定通り歯のポジションが整い、しっかり上顎前突が改善されました。

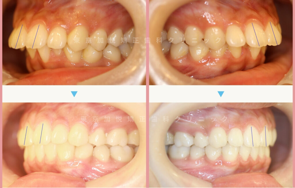
また、今回の矯正により、横顔にも変化がみられました。
Eライン(鼻の先端とアゴの先端を結んだ線)の中に唇がすっきり収まるようになりました。

以下は、それぞれの治療前後写真です。

治療後は上下の歯の正中ラインが合っていませんが、より上顎前突の改善が見込める(治療プラン1)を選択したためです。

上の前歯の角度の傾きがとれ、前突が改善されました。

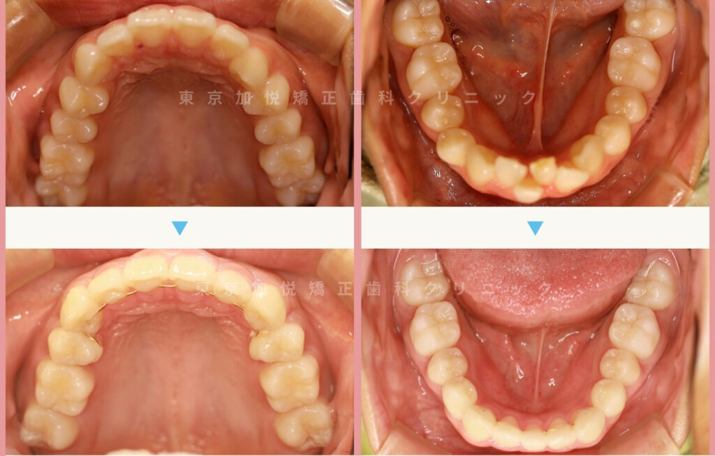
歯を抜いた箇所のすき間もしっかり閉じ、整ったU字の歯列になりました。




