上顎前突(出っ歯)を全顎矯正で治療した症例【症例005】

カウンセリング結果

患者様の状態

「前歯の前突が気になる」と、来院されました。

上顎前突の治療前写真

ご希望の装置

装置のご希望は特にありませんでした。
歯を抜いてでも、お口元の前突をなるべく治したいと希望されていました。

カウンセリング後の治療プラン

全顎矯正で歯列全体を後方に下げられます

歯科医のコメント

患者様は歯を抜いて前突感をなるべく治したいというご希望でしたので、歯を抜いた上で矯正する治療プランを立てました。

(治療プラン1)歯を4本抜いて20ヶ月間の表側矯正

上下左右第一小臼歯を抜歯した上で、全顎矯正を行う治療プランが考えられます。

矯正にかかる費用

初診:3,300円

精密検査費用:44,000円

抜歯費用:44,000円
表側矯正装置:1,045,000円

通院ごとにかかる処置料 5,500円×20回
保定にかかる費用 来院つど:1,100円~5,500円
治療にかかるリスク・コメント 矯正治療には歯根吸収のリスクがあります。

 

(治療プラン2)歯を4本抜いて20ヶ月間の裏側矯正

裏側矯正でも表側矯正と同様の期間で同様の治療結果が得られます。 治療期間中は、矯正装置が歯の裏側に装着されるため、目立ちません。

矯正にかかる費用

初診:3,300円

精密検査費用:44,000円

抜歯費用:44,000円
表側矯正装置:1,485,000円

通院ごとにかかる処置料 11,000円×20回
保定にかかる費用 来院つど:1,100円~5,500円
治療にかかるリスク・コメント 矯正治療には歯根吸収のリスクがあります。

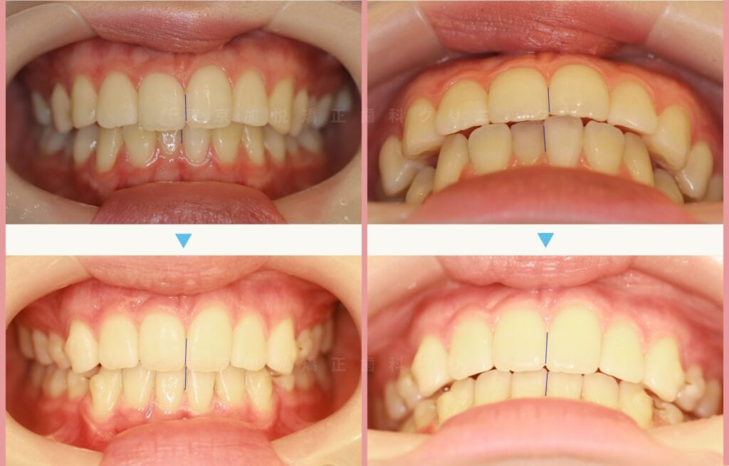
20ヶ月間の表側矯正でお口元の前突を改善できました

抜歯の後、20ヶ月間の表側矯正でお口元の前突を改善できました。
治療の前段階では、リスクとして歯列にすき間が生じる可能性をお話ししていましたが、結果的にはすき間がすべて埋まり、綺麗なU字ラインの歯列になりました。

▼横顔の治療前後写真です

お口元の前突を全顎矯正(表側矯正)で治療した横顔の治療前後写真

▼正面から見たときの治療前後写真です

お口元の前突を全顎矯正(表側矯正)で治療した治療前後の正面写真

▼横顔の治療前後写真です

お口元の前突を全顎矯正(表側矯正)で治療した横顔の治療前後写真

▼咬合面の治療前後写真です

お口元の前突を全顎矯正(表側矯正)で治療した咬合面の治療前後写真

▼顔貌の治療前後写真です

お口元の前突を全顎矯正(表側矯正)で治療した顔貌の治療前後写真

出っ歯の矯正

この症例では、骨格的要素を含んだ出っ歯治療でした。
歯の矯正治療でもこの程度の上顎前突を改善できます。

また、今回の患者様は「歯を抜いて口元をしっかり治したい」という方針で治療を選びましたが、
中には「歯を抜かずになるべく治したい」という方もおり、
当院ではご希望に寄り添った治療プランを提案しています。

当院では患者様お一人おひとりにあった治療プランを選ばれることを大切にしています。

▶ 出っ歯の矯正

クリニック紹介

ご予約・ご相談

初診予約やご相談は、お電話またはLINEで受け付けています。

03-6228-7107受付時間:10:00~18:30

日曜日は16時まで / 不定休あり

LINEで相談

銀座駅より徒歩2分

東京都中央区銀座2-7-10 銀座マロニエテラス7F