クロスバイトを部分矯正した症例(50代女性)
カウンセリング結果
カウンセリング後の治療プラン
上下前歯のコンビネーション矯正
歯科医のコメント
治療プランの選択肢としては、抜歯や全顎矯正も考えられましたが、患者様のご希望で歯を抜かず・前歯のみの部分矯正を行いました。
その結果、10ヶ月間でクロスバイトや前歯の審美性が改善しました。
矯正装置は、上の前歯を裏側矯正、下の前歯を表側矯正を使用しました。
その結果、10ヶ月間でクロスバイトや前歯の審美性が改善しました。
矯正装置は、上の前歯を裏側矯正、下の前歯を表側矯正を使用しました。
(治療プラン1)上下前歯の裏側矯正
お口の叢生やクロスバイトの状況からワイヤー矯正が望ましい状況でした。
患者様が目立たない装置をご希望でしたので、歯の裏側に矯正装置をつける裏側矯正が考えられました。
| 治療にかかる費用 | 初診3,300円 / 検査22,000円 / 装置880,000円 / 通院時処置料8,800円×10回 ※この後、後戻り予防のための保定治療に入ります。(通院つど1,100円~) |
(治療プラン2)上下前歯のコンビネーション矯正(上が裏側矯正、下が表側矯正)
お口の叢生やクロスバイトの状況からワイヤー矯正が望ましい状況でした。
患者様が目立たない装置をご希望でしたが、下の前歯はあまり目立たないので、下の前歯を表側矯正にして、上の前歯のみを裏側矯正にするプランを提案しました。
下の前歯を表側にすることで、費用がお安くなるほか、日頃のお手入れが少し楽になります。
| 治療にかかる費用 | 初診3,300円 / 検査22,000円 / 装置770,000円 / 通院時処置料7,700円×10回 ※この後、後戻り予防のための保定治療に入ります。(通院つど1,100円~) |
予定通り10ヶ月間の部分矯正でクロスバイトもしっかり治しました
コンビネーション矯正でも裏側矯正でも仕上がりに変わりはありませんが、この患者様のご希望でコンビネーション矯正を行いました。
10ヶ月間で歯並びの審美性が整いました。
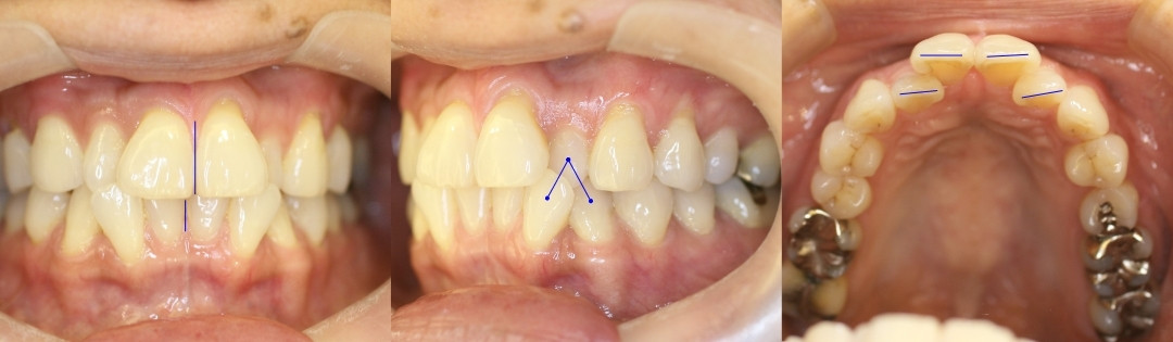
▼正面からみた写真です。真ん中の前歯が前突し、その隣の歯が隠れています 
▼咬合面の写真です。歯列が階段のようになっていたのが、バランスが取れました

▼クロスバイトの解説です

▼前歯がなおると、横顔もスッキリします





