歯を抜かずに全顎矯正した症例【症例015】
カウンセリング結果
患者様の状態
初診時、歯のずれがあり、不正咬合も見られました。

ご希望の装置
歯を抜きたくない。
表側矯正なら、より目立たないゴールドワイヤーに色を変更したい。
カウンセリング後の治療プラン
抜歯をして部分矯正するプランと抜歯をせずに全顎矯正するプランがありました。
歯科医のコメント
患者様のお口の状況とご希望をふまえ、次の治療プランが考えられました。
(治療プラン1)全顎矯正で全体的に後方へ<抜歯あり>
抜歯をすることで、歯の動くスペースを作り出し、歯のポジションを整えます。
この方の場合、歯のスペースが閉じないリスクがありました。
期間24ヶ月
| 治療前にかかる費用 |
初診:3,300円 精密検査費用:44,000円 抜歯費用:48,000円 |
| 治療にかかる費用 | 装置費用 1,045,000円 ゴールドワイヤーに変更33,000円 |
| 通院ごとにかかる処置料 | 5,500円×24回 |
| 保定にかかる費用 | 来院つど:1,100円~5,500円 |
(治療プラン2)全顎矯正で全体的に後方へ<抜歯なし>
全顎的な矯正で歯列全体を後方に異動させることで、歯の動くスペースを作り出し、歯のポジションを整えます。
咬合の改善もできる上、歯を抜かないためブラックトライアングルが発生するリスクも抑えられます。
| 治療前にかかる費用 |
初診:3,300円 精密検査費用:44,000円 |
| 治療にかかる費用 | 装置費用 1,045,000円 ゴールドワイヤーに変更33,000円 |
| 通院ごとにかかる処置料 | 5,500円×18回 |
| 保定にかかる費用 | 来院つど:1,100円~5,500円 |
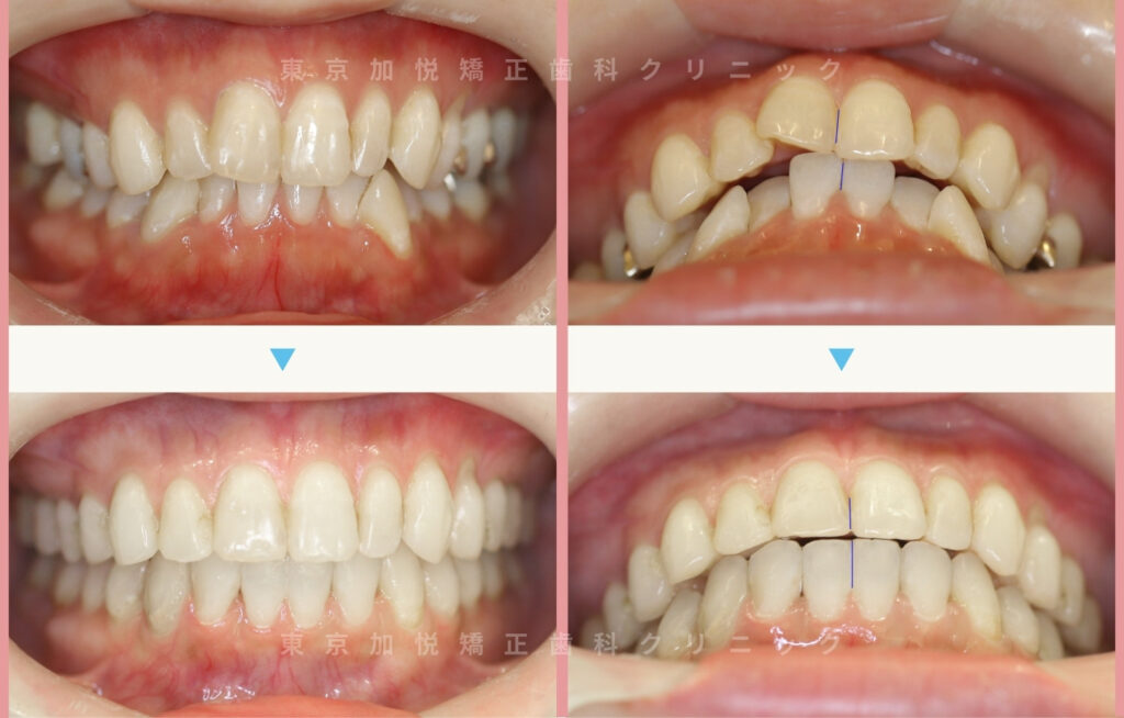
歯を抜かずに、全顎矯正しました。


▼咬合面の症例前後写真

▼横から見た症例前後写真

主な矯正装置
部分矯正 唇側装置(表側矯正)
矯正にかかった期間:18ヶ月間
初診時には歯のずれがあり、不正咬合も見られました。
抜歯をして矯正することも考えられましたが、全顎的な矯正で歯列全体を後方に異動させることで、歯を抜かずに矯正治療を完了しました。
歯を抜くのは歯を動かすスペースを確保するために行いますが、このように歯列全体を後方に異動して、アーチをU字に拡大することで、歯を抜かないでもスペースを十分に確保することが可能です。
特筆すべきリスク
・抜歯をした場合としない場合でリスクも異なります。今回抜歯をせずに矯正したことで、ブラックトライアングルが発生するリスクを抑えられました。
・矯正治療にともない、歯根吸収のリスクがあります。
矯正にかかった費用
初診:3,300円 精密検査:44,000円
矯正装置:1,045,000円、処置料:通院つど 5,500円×18回
ゴールドワイヤーに変更33,000円
保定期間の処置料:通院つど 1,100~5,500円
※表記は税込、すべて自費診療です
アンカーインプラントを用いた矯正治療

歯列全体を後方に移動することで、歯を抜かずにスペースを確保しました。
アンカーインプラントは通常のインプラントと異なり、矯正期間中に一次的に使用します。非常に小さいため、お口の違和感も限定的です。
歯を抜かない歯科矯正
もともとの歯並びが重なっていると、患者さまの中には「歯を抜かないと治療できない」と考えている方もいらっしゃいます。
当院では、歯を抜かずに矯正治療するためのいくつかのテクニックを組み合わせることで、歯を抜かずに矯正治療をできる幅を広げています。
100人いれば100通りの治療プランがあります
初診カウンセリングでは、お口の状態をみた上で、あなたに合った治療プランをお話します。
今回のように治療範囲でお悩みの場合は、複数の治療の選択肢をお話しすることも可能です。
なお、当院の初診カウンセリングは完全予約制です。(3,300円)
当院では、矯正治療を受けるかお悩みの方に向けてオンラインカウンセリングも行っています。(無料)



