患者様のご希望に寄り添います
矯正治療は100人いれば100通りの治療法があります。
- 徹底的に美しくなりたい方
- 周囲に気づかれずに矯正を終えたい方
- 限られた期間や予算で治療をしたい方
- 歯を抜かずに治療したい方
- 部分的な治療をご希望の方
複数の治療プランを比較検討も可能です。
ドクターとのカウンセリング時にご相談ください。
症例紹介
-
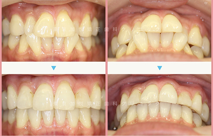
お口元の前突改善症例
裏側矯正・全顎
横から見るとお口もとに前突感がある方の症例です。奥歯を抜いて歯列全体を後方に移動。
抜歯なしでもある程度の治療は可能でしたが、患者様のご希望で抜歯をしました。
目立たない装置の裏側矯正を2年2ヶ月間実施。
主な矯正装置:裏側矯正(舌側矯正)
矯正治療の期間:2年2ヶ月
抜歯の部位:小臼歯4本
特筆すべきリスク
今回のように出っ歯の原因に骨格的要因が含まれる場合、以下のリスクがありましたが、すき間も完全に閉じ、ガミーや歯肉退縮もそれほどの変化がなく、治療を終了できました。
・抜歯したすき間が埋まらず、歯と歯の間にすき間が生じてしまうリスク
・歯槽骨が前方に残りガミースマイルが助長されるリスク
・歯肉が退縮するリスク
※今回の症例では、すき間が生じずに治療を完了しました。
治療費用:初診;3,300円 / 検査料44,000円 / 装置料 ¥1,540,000 / 処置料¥11,000×26回 ※別途、後戻り予防のための保定治療(通院つど1,100円~5,500円)
-
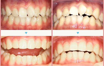
前歯の歯並び改善治療
コンビネーション矯正・前歯のみ
歯列がガタガタし、クロスバイトもある状況でした。上下の前歯を10ヶ月間矯正。
矯正治療により、歯肉が退縮するリスクがあったのですが、それほどの変化がなく、治療を終了できました。
また、もしも歯を抜いて矯正するとしたら、歯の根元にすき間(ブラックトライアングル)が生じるリスクがありましたが、今回、歯を抜かずに矯正することで、リスクを回避しました。
主な矯正装置:コンビネーション矯正(上が裏側矯正、下が表側矯正)
矯正期間:10ヶ月間
矯正にかかった費用:
初診3,300円 / 検査22,000円 / 装置770,000円 / 通院時処置料7,700円×10回
※別途、後戻り予防のための保定治療(通院つど1,100円~5,500円)
-
前歯の歯並び改善治療
表側矯正・前歯のみ
ご予算の都合から、上の前歯だけ矯正した症例。表側矯正を7ヶ月間行なったのち、形態修正を行うことで歯並びがかなり整いました。
※裏側でも同様の治療が可能でしたが、比較的安価な表側で治療しました。
矯正装置:表側矯正(唇側矯正)
矯正期間:7ヶ月間
矯正にかかった費用:
初診3,300円 / 検査22,000円 / 装置費用 330,000円 / 通院ごとにかかる処置料 5,500円×7回 38,500円 形態修正(トリミング) 5,500円
※別途、後戻り予防のための保定治療(通院つど1,100円~5,500円)
※上の前歯だけの部分矯正のため、審美的な改善は可能ですが、下顎の治療を行っていないため、前歯の咬み合わせ改善はできておりません。
※歯肉退縮リスクはありましたが、それほどの変化がなく、治療を終了できました。
本格的な裏側矯正を、
前歯だけでも
具体的な治療プランはこちらから紹介しています。
診療内容
-
裏側矯正
コントロール性が高く目立たない
歯の裏側に装置をつけて、歯を矯正します。
矯正期間中の見た目にも影響がなく、装置を付けたまま食事可能なため、外食が多い方に適しています。
前歯だけ裏側矯正装置を付けたときの写真
-
表側矯正
コントロール性が高く、比較的安価
歯の表側に装置をつけて、歯を矯正します。
歯の色味に合ったワイヤーを選ぶことで、少し目立たなくなります。(オプション料金)
上の歯列に表側矯正をつけた写真
-
マウスピース矯正
ご自身で着脱可能
歯に透明の装置をつけて矯正します。
金属を使用しないため、金属アレルギーの方も治療が可能ですが、適応範囲が限られます。
マウスピース着脱時の写真
-
歯を抜かない歯科矯正
ご希望に添った治療を
矯正治療にともない歯を抜くケースがありますが、その際は慎重に検討し、歯を抜かないでも改善する手段も検討します。たとえば、下記写真は奥歯の位置をさらに奥側に移動させることで歯を抜かずに前突を治したケースです。
-
保定治療
歯並びの後戻りを防ぐために
当院で矯正した方は、すべての方に保定治療を行います。保定装置は歯の裏側に目立たないワイヤーを装着します。
※マウスピースタイプの装置もありますが、ご本人のつけ忘れによる後戻りリスクがあります。
-
形態修正
より美しさを求める方に
当院では矯正が終わった後、歯の形の調整も可能です。
当院ではすべての歯並びの矯正に
対応しています
初診カウンセリング
ご希望やお悩みを問診した上で、お口の状態を確認。
治療プラン・期間・費用の目安をお伝えします(3,300円・完全予約制)。
歯並びのどの部分が気になるのか、ご予算、装置のご希望など
あなたに合った治療プランをご提案します。
オンラインカウンセリング
来院前に当院のドクターとテレビ電話で相談ができます。(無料・30分・完全予約制)
確定的な診断には、ご来院や検査が必要になります。
| 平日 | 土 | 第2・4日曜 | 祝日 | |
| 午前 |
10:00〜13:00
※不定休あり |
9:30〜13:00 | 9:30〜12:00 | 休 |
| 午後 | 14:00〜18:30 ※不定休あり |
14:00〜18:00 | 13:00〜16:00 | 休 |
完全予約制
- お電話からご予約できます。
- >不定期のお休みについて
- 03-6228-7107
矯正治療の再治療・他院修正
満足の矯正治療が得られなかった方へ
他院で矯正したものの、後戻りしてしまったり、治療結果に不満がある方の再治療も受け付けています。
WHAT'S NEW
当院からのお知らせ
| 2025年12月27日 | 12月29日~1月4日は休診します |
|---|---|
| 2025年8月16日 | 8月20日・21日 休診のお知らせ |
| 2025年3月3日 | ドクターズ・ファイルに掲載されました |
| 2024年12月27日 | 12月29日~1月3日は休診します |
| 2024年10月12日 | 【終了しました】マウスピース矯正応援キャンペーン |
| 2023年12月8日 | 当院の歯科医師が答えました!「歯の矯正って顔がスッキリするの?」 |









